Energy News  
Nano World: Nanoantennas Superfocus Light

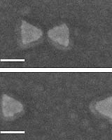
"Bowtie" nanoantennas. Image credit: Department of Chemistry, Stanford University, Department of Electrical Engineering, Stanford University.

New York (UPI) June 27, 2005
Antennas made of gold strips only nanometers wide can focus light far more precisely than any existing lens, experts told UPI's Nano World.

The nanoantennas could lead to advanced optical telecommunications systems, microscopes that can image proteins, secure computer networks that can instantly detect eavesdroppers, and more efficient optical data-storage devices.

"There will be a million applications in all kinds of devices," said researcher Bert Hecht, a physicist at the University of Basel, Switzerland, whose team developed one version of the nanoantennas.

Just as conventional antennas concentrate and amplify radio signals, the gold nanoantennas amplify visible light.

The devices developed by Hecht and colleagues are made of gold strips 45 nanometers - or billionths of a meter - wide and 200 to 400 nanometers long, with 20 nanometer-wide gaps cut down their middles. The interaction between light waves and the antennas leads to focused light emerging from inside the tiny middle gaps.

Conventional lenses at best can focus to a spot roughly half as wide as the wavelength of light used to view an object. This means a microscope using visible light, which has a wavelength in the range of 400 nanometers to 800 nanometers, can focus only to roughly 200 nanometers.

The nanoantennas, however, can achieve 50 times better resolution.

"If you replace the lens with an antenna, you could probably image down to one-hundredth of a wavelength. I would say probably 5 nanometers or so," said optical scientist Lukas Novotny at the University of Rochester, N.Y., who did not participate in the research.

"It's a super-focusing of optical radiation, much better than what can be done with mirrors and lenses, the standard optical elements. This could really extend the resolution limit of optical microscopy. It could make proteins visible."

Earlier this year W.E. Moerner, a physical chemist at Stanford University in California, and colleagues reported in the journal Physical Review Letters they had designed gold optical nanoantennas in the shape of bowties.

"We do a lot of imaging of biological systems," Moerner told Nano World, "and we would like to see where single molecules are located in cells, since many processes in cells work at the single-molecule level. So our bowtie structures and these new nanoantenna structures can concentrate light and scan over a cell surface."

Among other possible uses:

- Nanoantennas could create extremely sensitive detectors for pathogens such as viruses. The spectrum of light emitted by every molecule is unique, so sensors based on the antennas could detect the fingerprint of even a single virus.

"You can imagine using these antennas in detecting biowarfare agents," Novotny said.

"Using antennas, we can achieve the ultimate sensitivity of detecting a single fluorescent molecule," Hecht added. Fluorescent compounds are often used as tags for tracking cells and biomolecules in the $500 million worldwide biological-detection-agent market.

- Nanoantennas could produce brighter and more efficient light-emitting diodes, Hecht said. When it comes to optical data storage in CDs, DVDs or similar items, nanoantennas could allow reading and writing of ever-tinier bits of data, leading to ultra-high density, he added.

Moerner said the antennas could improve precision in etching microcircuitry, although no one has yet figured out how to use nanoantennas to replace the existing process of photolithography.

"You could imagine a hybrid system, where you have conventional lithography almost everywhere, save some small region where you need super-small resolution, (such as) 20 nanometer lines, where you could use nanoantennas," he said.

- Nanoantennas could lead to improved single-photon emitters, Hecht said, for use in computer networks so secure that any attempt to eavesdrop would interrupt the flow of data and trip security alarms. Conventional methods of relaying encrypted messages depend on randomly generating large numbers, called keys, that must be used to open the encryption.

Single-photon emitters allow keys to be sent absolutely securely, because according to the laws of quantum mechanics it is impossible to observe a photon without altering it. This means any attempt to hack into single-photon signals can be detected.

- Nanoantennas could lead to advanced optical telecommunications networks, where data are relayed as pulses of light instead of electrical signals. Essentially, nanoantennas could help link and direct the pathways along which the light signals travel.

"The Internet ... to a great degree relies on optical data transmission already," Hecht said. "In the future, with the ever-growing data volumes to be processed, it would be desirable to perform jobs, like rerouting, that are currently still done by a complicated transformation of optical into electrical signals and vice versa in a completely optical way."

Hecht said researchers could use electromagnetic energy focused by the antennas to manipulate nano-sized objects - much like the fictional tractor beams in the "Star Trek" series latched onto starship-sized objects - perhaps only 10 nanometers to 20 nanometers in size.

"Carbon nanotubes are probably too small," Hecht noted. "One could think of objects of the right size to be attached as handles to smaller objects. Larger proteins have the right range of size."

Novotny said further research could improve the nanoantennas in a number of ways, such as finding alternatives to gold or developing three-dimensional configurations.

"The biggest challenge is reproducibility of these antennas," he said. "One has to improve ... nanofabrication techniques."

Nevertheless, Novotny predicted "within five years, this will be routine technology in research hands, and within 10 years there will be some true technological applications."

Hecht said he and colleagues are planning to begin feasibility experiments soon.

Charles Choi covers research and technology for UPI Science News. E-mail: [email protected]

Community
Email This Article
Comment On This Article

Related Links
SpaceDaily
Search SpaceDaily
Subscribe To SpaceDaily Express
Nano Technology News From SpaceMart.com
Computer Chip Architecture, Technology and Manufacture



Memory Foam Mattress Review
Newsletters :: SpaceDaily :: SpaceWar :: TerraDaily :: Energy Daily
XML Feeds :: Space News :: Earth News :: War News :: Solar Energy News


Prof Develops Cancer Nanobomb
Newark DE (SPX) Oct 14, 2005
University of Delaware researchers are opening a new front in the war on cancer, bringing to bear new nanotechnologies for cancer detection and treatment and introducing a unique nanobomb that can literally blow up breast cancer tumors.







  • MIT Group Creates a High-Temperature Superfluid
  • 'Apollo Program' For Hydrogen Energy Needed, Stanford Researcher Says
  • High Oil Prices Unlikely To Last: ADB Expert
  • Unlocking Hydrogen's Fuel Potential

  • Fire Doused At US Nuclear Plant
  • Nuclear Export States Agree On Measures To Prevent Proliferation
  • Iran Says Russian Nuclear Fuel Could Come Within Months
  • Governments Of Canada And Saskatchewan To Cost-Share Remediation Of Uranium Mines

  • Scientists Seek Sprite Light Source



  • EU Governments Keep National Bans On GMOs
  • Insects Resistant When Single And Double-Gene Altered Plants In Proximity
  • Insects Developing Resistance To Genetically Engineered Crops
  • East African Farming Genetically Transformed

  • Eco-Friendly Motor Rally Sets Off From Kyoto To Celebrate Environment

  • BAE Systems Completes Acquisition of United Defense Industries
  • EADS Names New Leaders
  • FAA Using New Lockheed Martin System to Control Oceanic Air Traffic
  • Europe's EADS Woos Pentagon With Alabama Tanker Base

  • NASA plans to send new robot to Jupiter
  • Los Alamos Hopes To Lead New Era Of Nuclear Space Tranportion With Jovian Mission
  • Boeing Selects Leader for Nuclear Space Systems Program
  • Boeing-Led Team to Study Nuclear-Powered Space Systems

  • The content herein, unless otherwise known to be public domain, are Copyright 1995-2006 - SpaceDaily.AFP and UPI Wire Stories are copyright Agence France-Presse and United Press International. ESA PortalReports are copyright European Space Agency. All NASA sourced material is public domain. Additionalcopyrights may apply in whole or part to other bona fide parties. Advertising does not imply endorsement,agreement or approval of any opinions, statements or information provided by SpaceDaily on any Web page published or hosted by SpaceDaily. Privacy Statement